Multi-Tooth Implants in Kelowna

Multi-Tooth Implants Near You

Multi-Tooth Implants Near You

Missing several teeth can make you feel discomforted, as it makes eating, speaking and smiling a difficult task.

At New Teeth Today Dental Implant Centre, our dentist, Dr. Webster, offers modern multi-tooth implants in Kelowna to offer you a strong, natural-looking smile.

With the right care, you can help your multi-tooth implants last longer and help you achieve a confident white smile.

If you are avoiding a dental visit due to missing teeth or are worried about how long the treatment would be, then our multi-tooth implants near you make the treatment quick and comfortable, as our team will guide you through every step of the process.

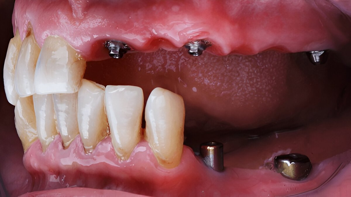
What Are Multi-Tooth Implants?

Multi-tooth implants are a modern solution for patients who have lost several teeth in a row.

Unlike traditional bridges or dentures, these implants are put directly into your jawbone, offering a stable and natural feel.

After getting multi-tooth dental implants from New Teeth Today Dental implant Centre, you will leave with a beautiful white smile.

What Are Multi-Tooth Implants?

Who Is a Good Candidate?

Multi-tooth dental implants are not for everyone, but several patients can benefit from them. You are a good candidate if you

  • Are missing two or more teeth
  • Have healthy gums and a sufficient jawbone
  • Want a permanent, reliable solution instead of removable dentures
  • May have struggled with chewing, speech, or confidence because of missing teeth

During your consultation, Dr. Webster will evaluate your mouth and help you decide if multi-tooth implants near you are the best option.

How Multi-Tooth Implants Work

At New Teeth Today Dental Implant Centre, we make the process simple:

  • When you visit our dentist near you, Dr. Webster, will take 3D images to plan your implant treatment.
  • Then, the implants are placed in your jaw to provide secure support.
  • You leave with temporary teeth that function and look natural while your implants heal.
  • Lastly, the dentist near you in Kelowna will attach your custom-made teeth after complete healing, for a perfect fit and smile

This process helps you receive multi-tooth implants in Kelowna that are safe, effective, and convenient.

Advantages of Multi-Tooth Implants

  • Restores the natural ability to chew and speak.
  • Protect the jawbone and prevent bone loss
  • Look and feel like your own teeth
  • Improve confidence and overall quality of life
  • Avoid removable dentures that slip or cause discomfort

There is, therefore, no need to continue dealing with the frustration brought about by missing teeth with multi-tooth implants near you.

Why Choose New Teeth Today Dental Implant Centre?

  • New Teeth in One Day-for Real! – Walk out with a functional smile faster than you ever thought possible.
  • Superior In-House Expertise: Dr. Webster, with his experienced team handles every step in our Kelowna clinic.
  • A Relationship Based on Trust: We take the time to explain your treatment and answer every question.
  • Smile Now, Pay Later: We make care affordable for you with our in-house financing, PaySpyre, which makes it easy to get the smile you deserve today.
  • Patient-Focused Care with Dr. Webster: With years of experience and a philosophy of putting the patient first, treatment with Dr. Webster will be safe, comfortable, and successful.

If you’ve been looking for multi-tooth implants in Kelowna, there’s no better place for care you can trust.

Take the First Step Toward a Complete Smile

Missing multiple teeth doesn’t have to hold you back. Call New Teeth Today Dental Implant Centre in Kelowna now to schedule your consultation with Dr. Webster.

You can get a new smile ready even before you think, call us or book your visit with us today.

Frequently Asked Questions

How long do multi-tooth implants last?

Is the procedure painful?

Can anyone get multi-tooth implants?

How soon can I eat after multi-tooth implants?

Schedule
Appointment